SAVE CHILDREN from SCOLIOSIS

思春期側弯症の早期発見で、子どもたちに一生の笑顔を。

ニュース

疾患啓発(Scoliosis)

私たちが解決したい臨床上の課題――それは思春期特発性側弯症です。発症は思春期、特に女児に多く、有病率は約2〜3%。 進行すると胸郭変形に伴う呼吸機能低下や慢性的な痛み、心理的負担を引き起こします。

推定有病率2–3%思春期(特に女児)
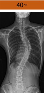
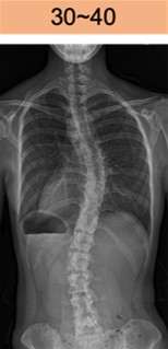
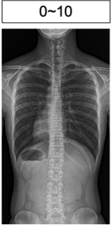
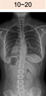
重症度指標Cobb角10–20°=軽度 / 40°〜=手術検討
年間手術(日本)約5,000侵襲・費用負担が大
年間手術(米国)約30,000$140,000~175,000/手術
装具矯正の手術回避率75%早期発見が鍵 New England Journal of Medicine 2013
コブ角 0-10度
0~10°
コブ角 10-20度
10~20°
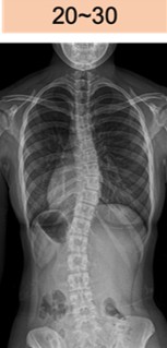
コブ角 20-30度
20~30°
コブ角 30-40度
30°~40°
コブ角 40度以上
40°~

【課題①】検診精度の地域間格差と標準化の遅れ

現在の学校検診は、検査者の経験に依存する視触診が中心のため、客観性に乏しく見逃しのリスクを内包しています。一部で導入されているモアレ法も、機器の普及や読影の属人性が課題となり、全国レベルでの検診精度の標準化を妨げる要因となっています。

期待される発見率の比較グラフ

【課題②】経過観察における被ばくリスクと進行リスク

思春期特発性側弯症は、骨の成長期に急速に進行する可能性があり、3〜6ヶ月ごとの頻回な経過観察が推奨されます。しかし、現状の標準検査であるX線撮影は放射線被ばくを伴うため、放射線感受性の高い若年層への頻繁な使用は避けたいというジレンマが生じ、最適なタイミングでの介入を困難にしています。

研究開発

非侵襲3Dスキャナ

体表面を高速に計測し、左右差やモアレ縞を視覚化。検診現場での簡便性と信頼性を追求しています。

非侵襲3Dスキャナ 非侵襲3Dスキャナ

椎体位置推定プログラム(SaMD)

取得データをAIで解析し、臨床的に有用な推定結果を提示。被ばくなく経過観察を支援することを目指します。

椎体位置推定プログラム(SaMD) 椎体位置推定プログラム(SaMD)

※ 開発中。効能・効果の表現は行いません。

会社概要

私たちは「思春期側わん症の早期発見を実現し、世界の子どもたちが一生明るく暮らせる未来を創る」ことをミッションとした医療機器スタートアップです。

私たちの理念

ミッション(Mission)

思春期側わん症の早期発見を実現し、世界の子どもたちが一生明るく暮らせる未来を創る。

バリュー(Value)

Safety(安全性)

子どもたちの体に優しい技術を追求する。

Science(科学)

医学とAIの融合で新しい診断支援の形を創る。

Sympathy(共感)

医療・教育・家庭が連携し、子どもを支える。

行動指針(Principles)

  • 科学的根拠と倫理を重んじ、社会に誠実に向き合う。
  • 小さな気づきを大切にし、現場から生まれる課題を技術で解決する。
  • チームとパートナーを尊重し、信頼に基づく協働を進める。

会社情報

商号 株式会社SMILE CURVE
本店 東京都板橋区中台二丁目37番13号
設立 令和5年8月17日
目的 医薬品・医療機器・非医療機器の企画・研究開発等
業許可 第三種医療機器製造販売業許可(許可番号 13B3X10401)
主たる機能を有する事務所の所在地:東京都新宿区信濃町35 信濃町キャンパス2号館
有効期間 令和8年3月4日~令和13年3月3日

チーム

野口昌克

野口 昌克

代表取締役 CEO

生命科学博士(Ph.D.)。京都大学での研究を経て、戦略コンサルティング・外資系医療機器メーカーで事業開発に従事。医療現場と経営の両面を理解するリーダー。

尾川智治

尾川 智治

取締役 COO

法政大学野球部出身。医薬品・医療機器商社で営業責任者を歴任。現場と顧客の声を理解し、ゼロから市場を創造するチームの推進力として事業成長を支える。

篠田正博

篠田 正博

取締役 CTO

ITストラテジスト。複数スタートアップで知財・技術戦略を統括。AI・3Dスキャン・クラウド技術の実装に強みを持ち、「技術で医療をやさしくする」ことを信条とする。

実績

採用情報

お問い合わせ

医療・教育・行政の現場で子どもたちを支える皆さま、投資家・パートナーの皆さま、そしてSMILE CURVEの理念に共感いただける方々からのご連絡をお待ちしております。

※ 本サイトは研究・開発中の情報を含み、医療行為や効能効果の広告を目的としません。